Look at me and you may not see that I am different than others. You'll see a dirty blonde girl with hazel eyes, pale skin, and "rosebud lips" as my mom likes to call them. You may notice I am a bit shorter than others, but you would make think about that for a moment or two before moving on. You may start to believe that I am about thirteen years old and then be surprised when I reply than I am actually nineteen; however, you would probably just think I just look young for my age. The fact that I have Turner Syndrome would never cross your mind.
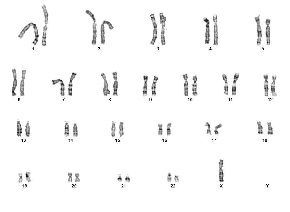
I have a genetic disorder called Turner Syndrome. You may have no idea what that even is, or you may remember it being quickly mentioned in a biology class you took years ago. Turner Syndrome occurs in about one out of every 2000 girls and is characterized by missing all or almost all of the second X sex chromosome. Girls with Turner Syndrome are shorter than average, usually do not develop secondary sex characteristics on their own, are infertile, and may have other medical problems such as thyroid, kidney, and heart abnormalities.
Because of my medical diagnosis, I have had some health issues throughout the years. From the ages of seven to fourteen I took growth hormone injections nightly in order to help me grow taller. With these shots, I reached five feet; without them, it would have been a miracle if I had even made four foot nine. I take hormone replacement so that I can develop the characteristics that make me appear female to the world, even though I know that I am a female no matter what I look like on the outside. When I was seven, I had my ovaries removed as a precaution against ovarian cancer. I deal with the fact every day that I will not be able to have biological children.
I do not tell you this to gain your sympathy. I don't care about that. I have accepted my condition and I am living a perfectly happy and normal life. I have friends and family who love me, I study hard, I go out, and I have dreams for my future. I am a normal nineteen year old college student. I share my story to remind you that everyone has a battle they are fighting. Just by looking at somebody you can never tell what is going on in his or her head or in his or her body. We need to spread kindness and acceptance and love. We are all human. We are one race. We are the same.
Happy February, which is Turner Syndrome Awareness Month, and continue to spread love and joy this month and every month.





















