Growing up, I was fortunate to have a big happily family of seven people, with all mainly being in good health. That was until 2011 when an insidious disease altered the course of my mom’s life.
It all began nearly 12 years ago with a tingling feeling. A feeling of pins and needles repetitively stabbing her skin accompanied with numbness. The feeling lasted weeks. She saw a doctor, who ran some tests and an MRI, and he dismissed the issue as a pinched nerve. After the visit, she returned to normal, everyday life, ignoring the continuous tingling until, eventually, it subsided.
Several years later, the feeling returned, only this time, the tingling spread and increased in intensity. Other symptoms accompanied the sensation, including disoriented taste buds, exhaustion, itchiness, and restlessness. The entire right side of her body became useless. She slurred her words and her hands shook, ruining her perfect penmanship. Walking became incredibly difficult, and nearly impossible, due to her leg drop and lack of balance. She felt defeated and scared, but refused to surrender. Definite that her symptoms were the root of a greater issue, she returned to the doctor. Getting in would take months, but it was worth the wait.
The doctors ran a series of tests, uncertain of what the issue could be. The feeling of not knowing what plagued her frightened us both. She waited until they finally eliminated every other possibility. The testing stage lasted for what felt like forever.
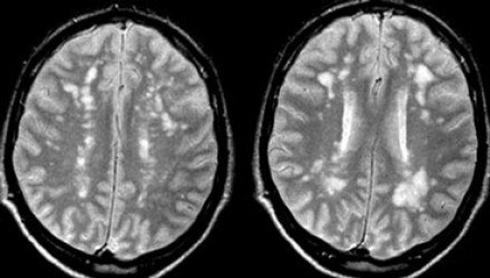
Finally, after analyzing results, doctors diagnosed my mom with Multiple Sclerosis, or MS. MS is a disease of the nervous system that disrupts the flow between the brain and the body. The disease causes crippling disabilities among many of its victims. As the doctor explained the MRI results, he described a classic cluster of lesions in the brain, typical in people who have MS.
Realizing this reality felt somewhat relieving, because, at last, we knew what hindered my mom. In order to decrease her severe symptoms, doctors gave her infusions. She would come home with the IV needle still in her arm, awaiting the following day’s infusion. The infusions lasted three days. Then the doctors prescribed oral steroids for her to take for the next 10 days. We felt grateful that the drugs dramatically improved her ability to function.
Unfortunately, we then learned that a cure for the disease doesn’t exist. MS affects people for the rest of their lives, so the symptoms could return at any time. Because scientists and researchers still don’t know much about the disease, a variety of potential serious side effects partner with almost all possible long-term medications. The idea of risking further sickness did not appeal to her. She decided to do research of her own and seek out other options.
After long hours of reading articles, journals, websites, books, and communicating with support groups, she decided to change her lifestyle. She attended physical therapy, gradually reducing her limp and regaining normal body functions. Changing her diet helped significantly as well, as it still does today. The diet includes a variety of fruits and vegetables and eliminates gluten and processed foods completely. She eats lean meats, and very little dairy. She also consumes a lot of vitamins to ensure she gets all of the nutrients and minerals her body needs.
The most difficult part of her diagnosis process for our family was the lack of knowledge the public had about the disease. We would ask for prayer and support for our family, but people dismissed us. They acted like it wasn’t a big deal because my mom never had to be enrolled in intensive care at a hospital. My mom is not alone. Many individuals undergoing the diagnosis process feel the exact same way. The lack of support for people with MS is just sad.
Part of the reason the public is not aware of MS is because it can be hard to see. People can’t always view the effects that a person feels. The disease attacks everyone differently, therefore it may be hard for the public to associate certain symptoms with it. It also presents itself in stages in which relapses can occur. Within these stages, a victim may recover from one wretched relapse with a specific set of symptoms, and possess a completely different set of symptoms during the next relapse. One could easily be categorized as normal or healthy between relapses, but it takes some deeper knowledge to understand that that is not true.
MS affects a lot of people across the nation. It hurts families and harms real people. My mom was lucky to find ways to help herself, but others are not so fortunate. MS victims need support and awareness from the public. The disease is more common than you think.





















