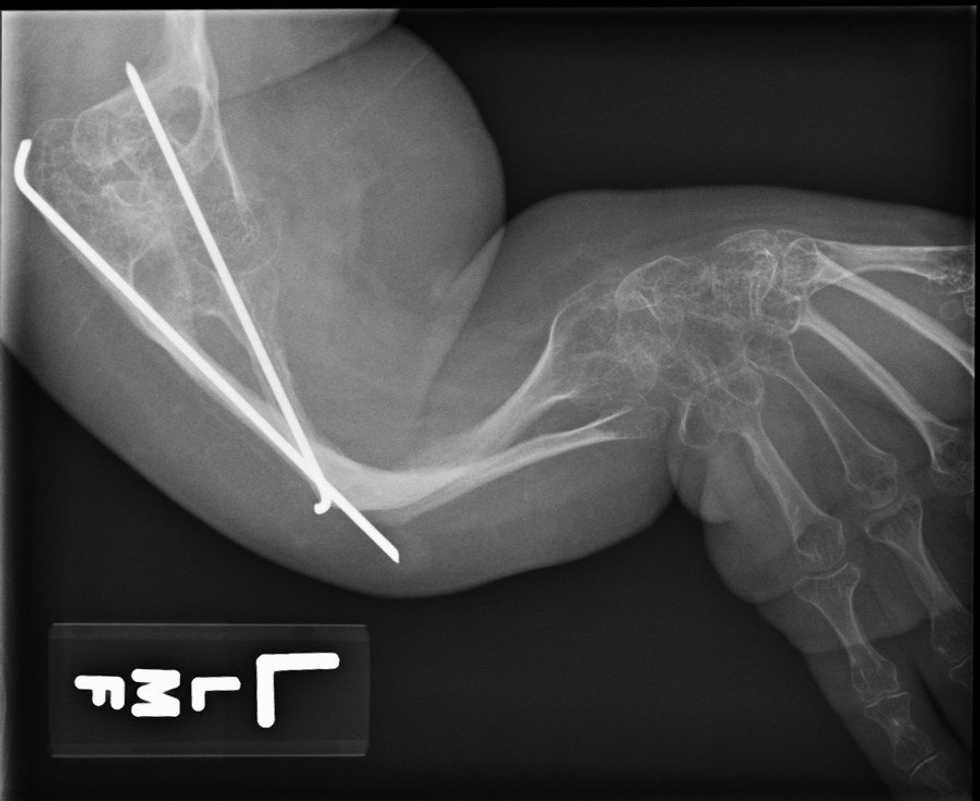
Perhaps one of the most baffling questions I get quite often is “does it hurt when you break a bone?” Ummm … YES!
Osteogenesis Imperfecta is caused by a lack of collagen, or by your collagen being deformed or insufficient. Collagen is what makes up your hair, nails, bones, skin, basically your entire body, so it’s really important stuff. When there’s something wrong with it, you are going to have health issues that show up in one form or another. There’s vitamins and things you can take to help your body function, but the problem comes when your body has trouble absorbing any outside nutrients. It happens that OI people show collagen deficiency through brittle and deformed bones, sometimes hearing loss, bad teeth and ligament and tendon weakness.
This collagen deficiency does NOT affect nerve function at all, which means that all of my feeling receptors are very much intact. When I break a bone, depending on how bad the break is, I not only feel it, but I hear it. It can be a very loud snap, and that’s never a good sound. If you’ve ever broken a bone, you know what I’m talking about!
So yes, when I break a bone, I feel it just as much as anyone with a normal body does. It hurts, but I also have developed a fairly high pain tolerance, so I have learned how to deal with it over the years. I know what pain killers to take and when, what vitamins speed up the healing process, and what method of casting, if any, will work the best for the bone in question. Mom and I have become skilled broken bone healers!
Pick up a copy of my book, Looking Up, today for more info about OI and me!





















