What is Scoliosis?
Scoliosis can simply be defined as the abnormal curvature of the spine. On an x-ray, the spine of a person with scoliosis looks like an "S" or a "C". The severity of this condition can vary by person to person, but the majority of those diagnosed follow the same procedures regarding treatment; observation, back brace, then perhaps surgery.
Females are more prone to developing scoliosis than males. The cause remains unknown, but there have been studies that show that many factors, such as age, or hereditary, could impact its development. However, there still isn't a definite cause.
Diagnosis
I remember when I was around 11 years old, I'd feel pain in my lower back. However, for some reason, I never told my parents. In hindsight, it was an irresponsible decision. However, I was eventually diagnosed a year and a half later, around the age of 12.
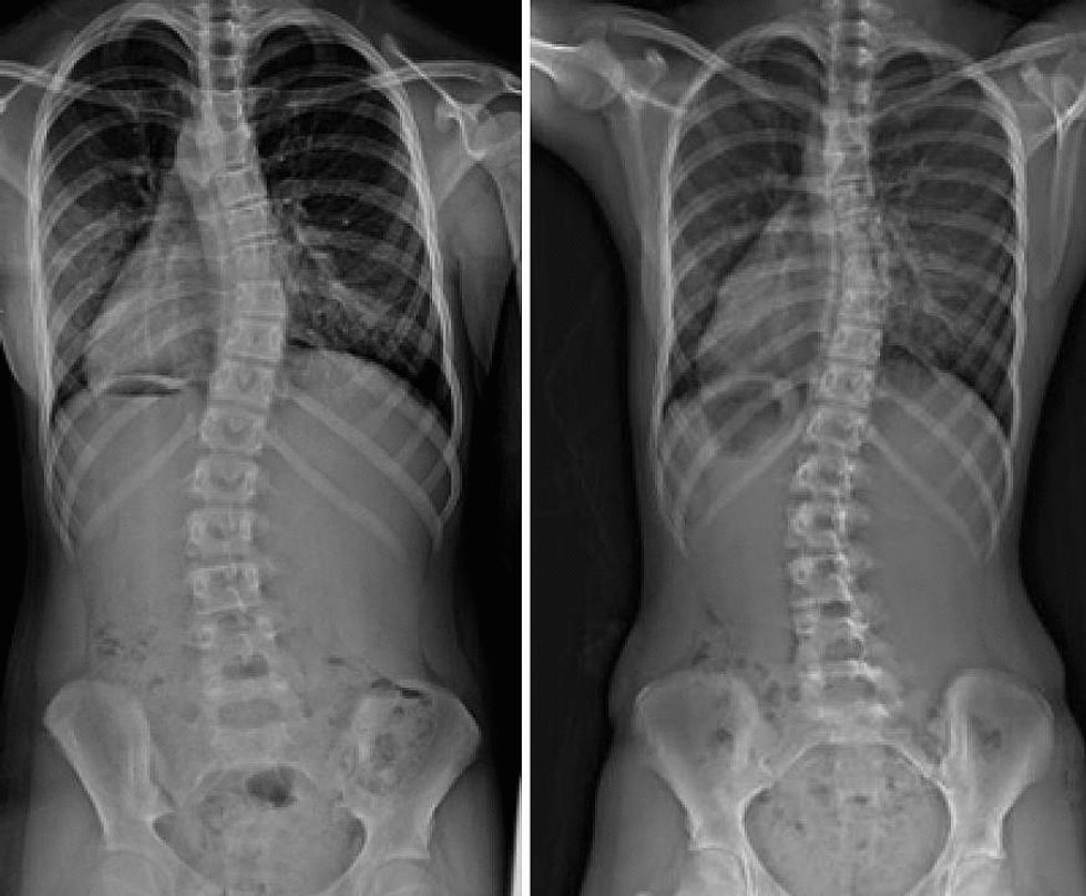
In one of the routine check-ups, my pediatrician made me do the Adam's Forward Bend Test, which required me to bend forward as she checked my spine and back for any abnormalities. That was when she noticed my spine had a curve to it. From there, she referred me to a lab for a spine x-ray, which confirmed her suspicion.
Treatment
To get an idea of the severity of my scoliosis, my pediatrician referred me to an orthopedic doctor, who had me go through x-rays on my spine and hand to measure the curvatures in my spine, as well determine when would I stop growing. At that time, I didn't even know what to think. It all happened so quickly, and I didn't have to process that there was something wrong with me. Also, I was under the impression that my spine was fine and that it required no further treatment. But, I was wrong.
When she measured the curves in my spine, the doctor told my mother and me that I should get measured for a back brace to control the curving. That left me speechless because I hadn't even considered the possibility of getting a back brace.
A few weeks later, I went back into the office to get measured for a brace. I was a scared young girl, and a stranger was taking measurements of all parts of my upper body. Needless to say, it was an uncomfortable experience.
The Back Brace
When I first put on my back brace, I ended up crying. I felt so weak, just because I was undergoing treatment for this chronic disorder. Not to mention, the brace itself was very uncomfortable. It constantly dug into my ribs, and my torso would constantly sweat whenever I put it on. To make matters worse, I had to wear it for 16 hours a day, which included night time, because I was afraid of going to school with the brace.
Since my diagnosis, I have gotten measured for a back brace twice. For my first brace, I chose the buildings of Chicago as the design. It sounded very cool at the time, but I then realized it was just a nuisance. Imagine wearing shirts with that color scheme under? So learning from experience, I got a plain white brace the second time.
Though I no longer wear a back brace, I grew to live with it and even love it. It was often funny, because while wearing it, I'd feel like I had abs of steel, and that became a common joke between my sister and me.

Stigma
I always felt uncomfortable wearing my brace outdoors because I thought people would judge me, or make fun of me. This is why I started wearing it too sleep, rather than wearing it to school. If I had to no choice, I would try to wear as many layers as a I could so that it wasn't noticeable. I had this absurd feeling that if people were to see my brace or know that I had a brace on, they would treat me differently. Therefore, in middle school, I barely told anyone that I had scoliosis and that I had to wear a back brace.
Then came high school. I didn't realize how common scoliosis was until I got to high school, where kids were not scared to talk about it. For the first time in my life, I didn't try to hide away from the fact that I was going through something. It was great seeing that I was not alone.
It's been over two years since I've worn a back brace. I am very fortunate that my case isn't a severe one, even though I still have periods of time where I feel pain in my back. Moving forward, to avoid the feelings I had while wearing my brace, I hope there is a bigger discussion about disabilities and other medical conditions, especially around young children. I hope they become normalized to talk about, and to live with, so others don't have to feel the way I felt.



















